
大众网记者 海康 青岛报道炒股配资交流网
近日,青大附院消化内科市南病区超声内镜团队,成功为一名22岁年轻患者实施高难度超声内镜引导下盆腔脓肿穿刺引流术,彰显了团队在复杂消化疾病诊疗领域的硬核实力。

患者数月前因阑尾穿孔引发腹腔及盆腔多处包裹性积液,在外院实施CT引导下腹腔双侧穿刺引流术时发现,盆腔积液位置极深,病灶前有膀胱遮挡、后有直肠遮蔽,常规超声及CT引导均无法完成穿刺引流;而外科开腹手术不仅视野受限、创伤较大,患者接受度也较低。迁延不愈的病情让患者持续低热,尿频、尿急、肛门下坠感等不适反复折磨,腹部留置的两根引流管更让他身心俱疲,生活质量直线下降。一筹莫展之际,患者转诊至青大附院市南院区,消化内科团队与急诊外科、放射科等多学科充分研讨,决定为患者实施超声内镜引导下经直肠盆腔脓肿穿刺引流置管术。
经过充分的术前准备,消化内科刘华副主任医师在毛涛主任的指导下,和麻醉科、内镜室医护团队的密切配合下,凭借精湛的内镜技术,仅用时20分钟,便通过实时超声精准锁定病灶位置,巧妙避开血管、神经等重要解剖结构,合理规划穿刺路径并成功置入支架。手术全程经人体自然腔道操作,无体表切口,且未对直肠功能造成损伤。

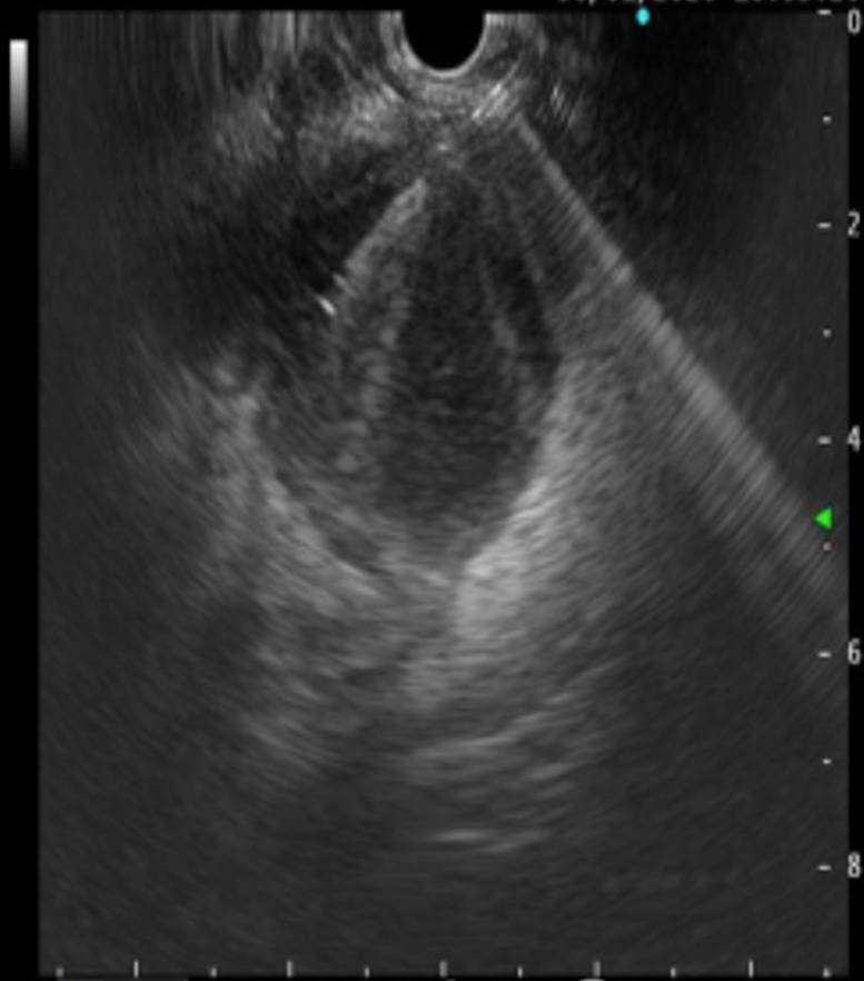
超声内镜引导下脓肿穿刺

支架置入过程

置入后的直肠内支架
术后4小时,大量脓液即经肛门顺利排出,患者发热症状消退;术后2天,尿频、尿急、肛门下坠等不适症状完全缓解;术后4天复查CT显示,盆腔脓肿已基本消退;术后5天,患者顺利康复出院。出院前,患者含泪对医护团队表达感谢:“医者仁心,你们不仅治好了我身体的病痛,更治愈了我心底的恐慌,感谢青大附院的医护人员们。”

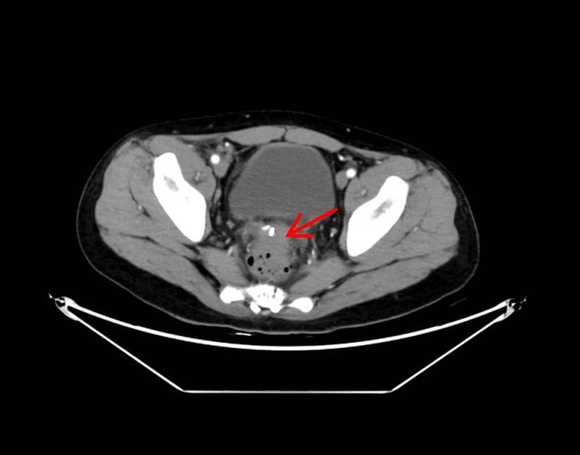
术前CT显示直肠前方一直径5cm圆形脓肿

术后4天复查CT显示脓肿基本消失
相关链接:
盆腔空间狭小,毗邻输尿管、直肠等重要脏器,穿刺操作易损伤周围组织,且脓液易在间隙内隐匿积聚,导致治疗不彻底、易复发。超声内镜引导下经直肠穿刺引流术作为微创治疗技术,通过人体自然腔道“隐形”操作,创伤小、恢复快,患者术后即可下床活动。
此次高难度超声内镜介入手术的成功实施,是青大附院消化内科深耕微创技术的生动体现。目前炒股配资交流网,超声内镜亚专业不仅已成熟开展胆胰疾病精准诊断、肿瘤穿刺活检等常规技术,更持续向腹腔脓肿穿刺引流、胃肠吻合、消化道出血精准内镜下治疗及胆胰管引流等疑难介入治疗领域拓展突破。未来,青大附院消化内科将持续聚焦患者的个体化诊疗需求,以多学科协作为依托,以技术创新为抓手,用精湛技术与人文关怀护佑百姓健康。
辉煌配资提示:文章来自网络,不代表本站观点。